povijesni iskorak

KBC Rijeka prvi u javnom zdravstvu RH s revolucijom u zračenju tumora

| Autor: A. S.
Foto: KBC Rijeka

Foto: KBC Rijeka

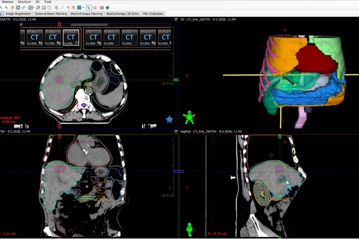
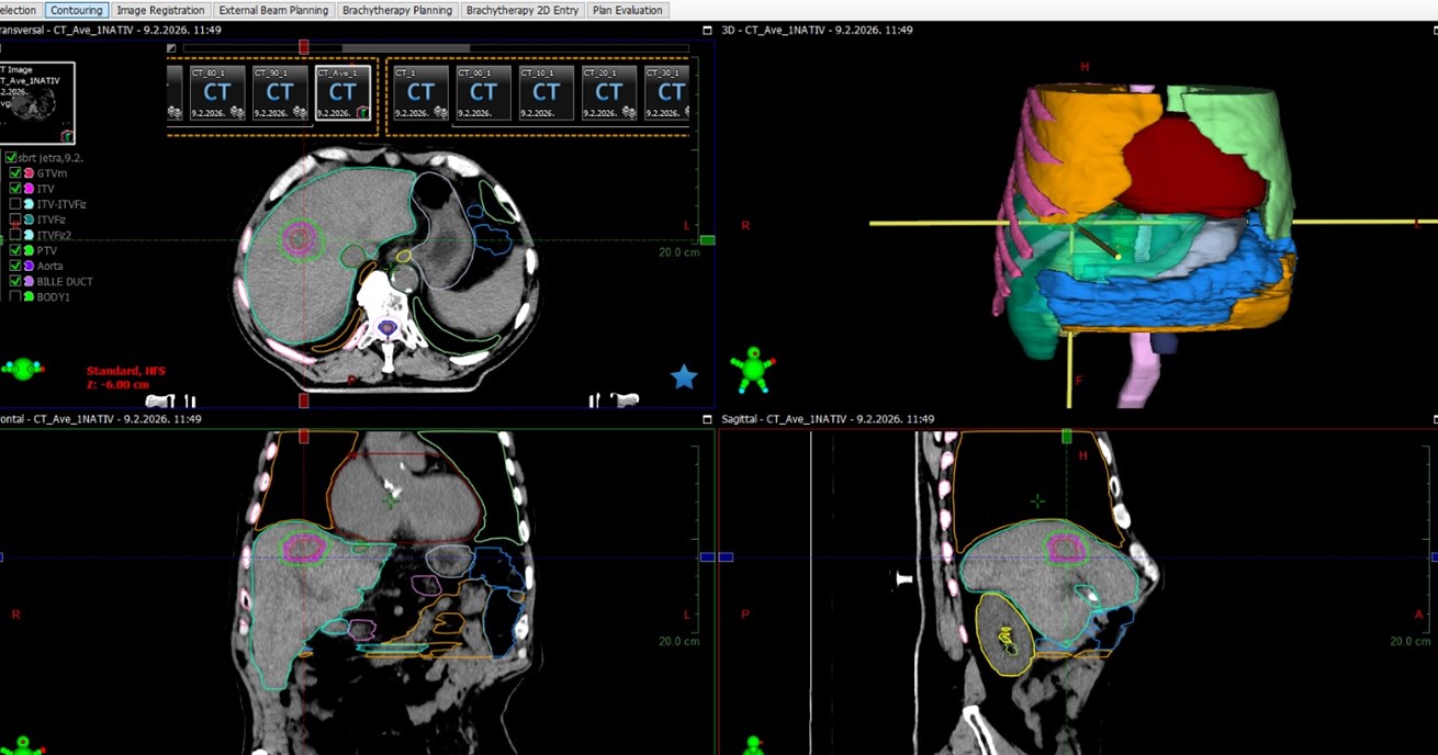
Klinika za tumore KBC-a Rijeka prva je u Hrvatskoj uvela stereotaksijsku radioterapiju jetre (SBRT), jednu od najnaprednijih i tehnički najzahtjevnijih metoda liječenja metastaza i primarnih tumora.

Ovime je postala prva ustanova u javnom zdravstvu koja provodi ovaj zahvat. Metoda predstavlja novi iskorak, jer nakon nedavne uspješne stereotaksije mozga i pluća, uvođenjem ovog – najkompleksnijeg SBRT zahvata, sada je u Rijeci moguće napraviti stereotaksiju na lezijama cijelog tijela.

KBC Rijeka prva bolnica u Hrvatskoj s potpuno obnovljenom radioterapijskom opremom

Stereotaksijska radioterapija (SBRT) jetre danas predstavlja jednu od najnaprednijih i najpreciznijih metoda liječenja malignih promjena jetre (bilo metastaza  ili primarnog tumora jetre). SBRT jetre je tehnika kojom se u malom broju frakcija (najčešće 3–5) isporučuju visoke biološki učinkovite doze zračenja s milimetarskom preciznošću, uz strogu kontrolu položaja tumora, kompenzaciju pokreta uzrokovanih disanjem te uz maksimalnu zaštitu zdravog tkiva jetre.

Jetra je vitalni organ jer bez nje organizam ne može preživjeti. Obavlja više od 500 različitih funkcija koje su ključne za život, radi toga i njene respiratorne pomičnosti, SBRT jetre predstavlja najkompleksniji oblik stereotaktične radiokirurgije. Tijekom planiranja zračenja metastaze ili tumora jetre nužno je voditi brigu o funkciji jetre, te o preostalom zdravom parenhimu jetre koji će moći preuzeti sve potrebne funkcije.

Foto: KBC RijekaFoto: KBC Rijeka

 „Jetra je jedno od najčešćih organa gdje pojedini tumori metastaziraju, stoga uvođenjem SBRT-a u liječenje metastatskih promjena jetre u kombinaciji s modernom sustavnom onkološkom terapijom možemo u dijela bolesnika postići sjajne ishode liječenja.  Dodatno, pokazalo se da SBRT na neki način i aktivira imunološki sustav čime dodatno pojačava učinak imunoterapije.  SBRT jetre je indicirana kod metastaza jetre te kod primarnog tumora jetre (hepatocelularnog karcinoma ili kolangiocelularnog karcinoma) kao definitivna metoda liječenja ili kao „most“ do transplantacije jetre. Stereotaksija je metoda koja uz primjenu moderne sustavne onkološke terapije i uz multidisciplinarnu skrb mijenja koncept liječenja i prognoze onkološke bolesti. Ovim pristupom težimo onome što danas sve više nas ističe – da onkološka bolest u sve većeg broja pacijenata postaje kronična bolest,“ izjavila je izv. prof. dr. sc. Ivana Mikolašević, predstojnica Klinike za tumore KBC-a Rijeka.

Implementaciju ove iznimno zahtjevne i kompleksne metode stereotaksijske radiokirurgije u Kliniku za tumore vodio je tim liječnika specijalista onkologije i radioterapije Klinike dr. Jasna Marušić i dr. Iva Skočilić uz pomoć radioloških tehnologa (Maja Prpić, Nives Begović, Miran Gašparović, Sandra Markulić i dr.) te uz pomoć medicinskih fizičara Zavoda za medicinsku fiziku (David Rajlić, Đeni Smilović Radojčić, Marlena Tolo i Mergime Hasani) i uz pomoć specijalista radiologije (Zrinka Matana Kaštelan i Tiana Grubešić). Obzirom na kompleksnost stereotaksijske radiokirurgije, prije 3 mjeseca, a u svrhu predanog uvođenja naprednih radioterapijskih tehnika, ustrojen je poseban Odjel za napredne radioterapijske tehnike i stereotaksiju pri Klinici za tumore pod vodstvom Sanje Ropac, dr. med.

„U Klinici za tumore KBC-a Rijeka dostupno je liječenje stereotaksijskom radiokrirurgijom sada svih tumorskih sijela, uz prethodnu detaljnu procjenu od strane educiranog i predanog internog tima za stereotaksijsku radiokirurgiju,“ zaključila je izv. prof. dr. sc. Ivana Mikolašević.


Podijeli: Facebook Twiter